Perineural spread in head and neck malignancies: imaging findings - an updated literature review
DOI:
https://doi.org/10.17305/bjbms.2021.5897Keywords:
Head and neck tumors, perineural invasion, cranial nerves, neuroanatomy imaging methodsAbstract
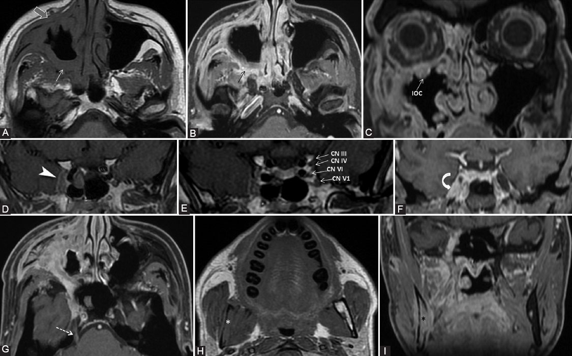
Perineural spread (PNS) represents the tumor’s ability to disseminate along nerves. The aim of this article is to review the relevant literature about the PNS in head and neck tumors (HN). The important information for imaging analysis is summarized in a diagnostic flow-chart. The pathogenesis, clinical signs, prognostic importance, and technical considerations for computer tomography and magnetic resonance imaging are briefly discussed. The anatomical pathways of the cranial nerves (CNs) and the main check-points are synthesized. Most commonly affected nerves are the trigeminal and facial, although any of the CNs may be involved. The described imaging features represent important clues for an optimal differential diagnosis. PNS worsens the prognosis and significantly changes the treatment, thus radiologists should be aware of this entity and be able to find it on imaging in the appropriate clinical context.
Citations
Downloads
Downloads
Additional Files
Published
How to Cite
Accepted 2021-06-02
Published 2022-02-01




