Development and validation of radiomics machine learning model based on contrast-enhanced computed tomography to predict axillary lymph node metastasis in breast cancer
DOI:
https://doi.org/10.17305/bjbms.2022.7853Keywords:
breast cancer, axillary lymph node metastasis, radiomics, machine learning, contrast-enhanced computed tomography, nomogramAbstract
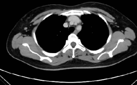
Preoperative identification of axillary lymph node metastasis can play an important role in treatment selection strategy and prognosis evaluation. This study aimed to establish a clinical nomogram based on lymph node images to predict lymph node metastasis in breast cancer patients. A total of 193 patients with non-specific invasive breast cancer were divided into training (n = 135) and validation set (n = 58). Radiomics features were extracted from lymph node images instead of tumor region, and the least absolute shrinkage and selection operator logistic algorithm was used to select the extracted features and generate radiomics score. Then, the important clinical factors and radiomics score were integrated into a nomogram. A receiver operating characteristic curve was used to evaluate the nomogram, and the clinical benefit of using the nomogram was evaluated by decision curve analysis. We found that clinical N stage and radiomics score were independent clinical predictors. Besides, the nomogram accurately predicted axillary lymph node metastasis, yielding an area under the receiver operating characteristic curve of 0.95 (95% confidence interval 0.93-0.98) in the validation set, indicating satisfactory calibration. Decision curve analysis confirmed that the nomogram had higher clinical utility than clinical N stage or radiomics score alone. Overall, the nomogram based on radiomics features and clinical factors can help radiologists to predict axillary lymph node metastasis preoperatively and provide valuable information for individual treatment.
Citations
Downloads
Downloads
Additional Files
Published
Issue
Section
Categories
License
Copyright (c) 2022 Jieqiu Zhang, Gaofei Cao, Haowen Pang, Jin Li, Xiaopeng Yao

This work is licensed under a Creative Commons Attribution 4.0 International License.
How to Cite
Accepted 2022-09-27
Published 2023-03-16




