The role of the NY-ESO-1 in the prognosis of gastric cancer
DOI:
https://doi.org/10.17305/bb.2023.9937Keywords:
Gastric cancer (GC), survival, New York esophageal squamous cell carcinoma-1 (NY-ESO-1), metastasesAbstract
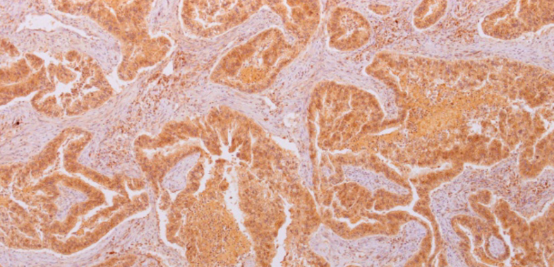
Gastric cancer (GC) is one of the most common malignancies worldwide and the fourth leading cause of cancer-related deaths. GC is a multifactorial disease influenced by both environmental and genetic factors. Its most critical features include invasiveness and high metastatic potential. Metastasis is a complex process, and our understanding of the mechanisms involved remains incomplete. Growing evidence suggests that cancer-testis antigens (CTAs) play a crucial role in the metastatic potential of various tumors. Several studies have linked CTA expression with lower tumor differentiation, higher metastatic potential, and poor chemotherapy response. New York esophageal squamous cell carcinoma-1 (NY-ESO-1) antigen, part of the CTA group, is expressed in tumor tissues, while its expression in normal tissues is restricted to spermatogonia. This study aimed to determine the expression of NY-ESO-1 in primary adenocarcinoma of the stomach, both with and without metastasis in regional lymph nodes, and to compare it with TNM stage, age, gender, and survival. We analyzed GC tissue from 53 node-negative and 55 node-positive primary gastric carcinoma patients for NY-ESO-1 expression using immunohistochemical assay. The results were correlated with clinicopathological parameters and survival. Patients with positive NY-ESO-1 expression in primary tumors had a median survival of 19.0 months (range 14.1–24.0), in contrast to those with negative expression, who had a median survival of 52.0 months (range 0.0–133.3) (chi-square 7.99, P=0.005). T status, N status, and NY-ESO-1 expression were all independently associated with shorter survival. No significant difference in NY-ESO-1 expression in primary tumors was observed concerning lymph node metastasis status. In summary, our findings suggest that increased expression of NY-ESO-1 could potentially serve as a prognostic biomarker for GC.
Citations
Downloads
Downloads
Additional Files
Published
Issue
Section
Categories
License
Copyright (c) 2023 Zvonimir Misir, Goran Glavčić, Suzana Janković, Ivan Kruljac, Jakša Čugura Filipović, Kristina Čimić, Monika Ulamec

This work is licensed under a Creative Commons Attribution 4.0 International License.
How to Cite
Accepted 2023-12-17
Published 2023-12-28




